![]() |
||||||||||||||||||||||||||||||||||||||||||||||||||||||||||||||||||||||
|
|
||||||||||||||||||||||||||||||||||||||||||||||||||||||||||||||||||||||
Boxer Puppies from
|
||||||||||||||||||||||||||||||||||||||||||||||||||||||||||||||||||||||
![]() |
![]() |
![]() |
![]() |
![]() |
![]() |
Field Ch & Aust Ch Ronin Drunken Encounter With Sanlian ADX JDX LCM |
![]() |
![]() |
![]() |
![]() |
![]() |
![]() |
![]() |
![]() |
Dog, 5 weeks old. |
Bitch One, 5 weeks old. |
Bitch Two, 5 weeks old. |

![]() |
![]() |
![]() |
Dog, 25 days old. |
Bitch One, 25 days old. |
Bitch Two, 25 days old. |
![]() |
![]() |
![]() |
Dog, fourteen days old. |
Bitch One, fourteen days old. |
Bitch Two, fourteen days old. |

4th August 2008 - The puppies are doing brilliantly and all weigh over a kilo now. They're plump and have their eyes open, though probably won't be walking early since the milk wagon delivers :-)
![]() |
![]() |
![]() |
Dog, nine days old. |
Bitch One, nine days old. |
Bitch Two, nine days old. |
23rd July 2008 - Sophie's puppies have now arrived! There are no puppies available from this litter.
![]() |
![]() |
![]() |
Dog, one day old. |
Bitch One, one day old. |
Bitch Two, one day old. |
20th July 2008 - Sophie has been sleeping in the whelping box waiting for the big arrival. Every morning as soon as she gets a chance Memphis whips in there to check for babies! Anytime Sophie leaves her sight she asks to check the box again. (Which I prefer to a few nights before when Memphis was lying in the box for hours waiting for her own puppies to come!)
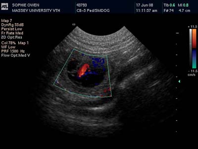
17th June 2008 - Sophie had her ultrasound today and is definitely pregnant!

The arrow points to the puppy's heart.

The two colours show the two directions of bloodflow.

This image shows two puppies!
April 2008 - Korrandulla Spoton Cheers at Ronin (Sophie) has been bred to BIS NZ Gr Ch Winuwuk Brief Encounter (Imp UK) (Lucas) who comes from the world famous Winuwuk Kennels in the UK. This will be a VERY exciting litter from two beautiful dogs. These puppies will have an impressive line bred pedigree including some excellent English boxers.
![]() |
![]() |
![]() |
![]() |
| NZ Gr Ch Winuwuk Brief Encounter (Imp UK) | ENG CH Winuwuk Lust at First Sight | ENG CH Winuwuk Lust in the Dust |
| ENG CH Winuwuk Story Book | ||
| Faerdorn Chick Flick at Winuwuk | ENG CH Winuwuk Lust in the Dust | |
| Faerdorn After the Show | ||
| BPISS Korrandulla Spoton Cheers At Ronin | Korrandulla Scotch Wik | BISS AUST NZ CH Winuwuk Double the Scotch (Imp UK) |
| NZ CH Korrandulla Kandy Rose | ||
| Korrandulla Wai Not Cheer | RBISS AUST NZ CH Cheers For Carinya (Imp UK) | |
| BISS Korrandulla Wai Pretend |
| Home | News | Dogs | Puppies | Information | Downloads | Contact |
Designed by: Blue Kingfisher Web Design
© 2006-2017 Ronin Boxers